Overhand Right

Boxing belongs to the young. For an off-and-on wannabe, back in the ring and facing down The Chainsaw, the stakes are higher than they’ll ever be.

Overhand Right
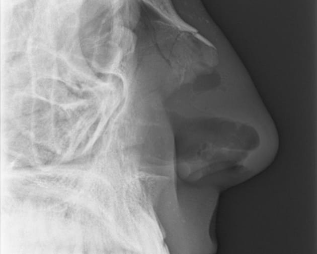
X-ray image courtesy of Willy Nast

I know almost nothing about the guy who broke my nose. He is a wiry Latino kid with a rat tail and an ear gauge. By my best guess, he is about 20 years old. He might have a day job or he might be a student, or both. I assume he has a driver’s license or state ID with his full name, but I couldn’t tell you what that name is. I only know him by his nickname, the name by which everyone at the Hamlin Park Boxing Gym knows him: The Chainsaw.

The Chainsaw didn’t know much about me, either, even though we’d shared the cramped, humid space of the Hamlin Park Boxing Gym on dozens of occasions in the three years I’d been a member. It’s difficult to get to know others at a boxing gym. This is not to say there is a lack of camaraderie—for example, I can tell you which boxers at Hamlin Park have kids and which do not, and which work as roofers or line cooks or insurance claims adjusters. In my experience, boxers are a friendlier, more polite bunch than athletes on basketball courts or hockey rinks or ball fields. But to be a boxer, even to train recreationally, requires a disposition driven toward isolation. It is an intensely solitary, punishing experience. Essentially, we’re all there to suffer alone.

What I did know about The Chainsaw was the only thing that mattered: He could fight. They didn’t give names like his to wannabes like me.

When the head trainer, a septuagenarian named Bill, told me I’d get two rounds with The Chainsaw, I had been a little surprised. There was another fighter there, a guy I’d sparred with before, who was closer to my level.

“That guy busted his nose last week,” Bill explained. “He needs time to heal up.”

Having seen The Chainsaw spar many times, I also knew that he liked to throw these big, looping, overhand rights. From ringside, the punch seemed so slow that I was surprised any time it actually connected. I figured I’d be fine as long as I kept my eyes out for that punch.

I slipped on my headgear, secured the leather strap under my chin, and bit down on my mouth guard. Once inside the ring, I leaned against the corner opposite from The Chainsaw and pulled deep breaths through my nostrils until Bill gave the command to box.

As The Chainsaw and I began to measure the space between us, I found I felt great. Loose, sharp, a little jittery, but that wasn’t unusual for me. Though The Chainsaw was clearly a step up from what I was used to, I handled him well and got through the first round. In the second round, I decided to be a little more aggressive—work my way in behind my jab, throw my right hand more, work in combinations. And about halfway through the round, at the end of a combination that missed woefully, I stepped to my left, directly into the path of one of those big overhand rights. I never saw it coming.


By the time I stepped into the emergency room, the initial shock and pain had worn off. Instead, I felt stupid and vaguely depressed. The triage nurse took my blood pressure and asked me a few questions. Was my injury the result of an attack? Had I fallen and hit my head? Had my nose always been curved?

“No,” I answered, “but thank you for noticing.”

I decided to come to the hospital because the medical advice I had received at the Hamlin Park Boxing Gym had been inconclusive. Bill held my nose lightly between his thumb and forefinger.

“Nah, that’s just the cartilage,” he concluded. “That’ll heal.”

The younger man crouched down and looked up my nostrils, stood on his tip toes, leaned left, then right.

Bill removed his glasses and pointed to his own nose. “You see this line?” he asked. I did, in fact, see a thin, crooked crease carved alongside the bridge of his nose. “I busted my cartilage a few times, too.” I believe he meant this to be comforting.

Bill asked the trainer standing next to him, a younger man from Jamaica, what he thought. The younger man crouched down and looked up my nostrils, stood on his tip toes, leaned left, then right.

“No, no, not broken at all,” he said in his singsong accent.

Behind them stood a third man. This man wasn’t a trainer or a boxer—just a guy that hung out at the gym a lot. Every boxing gym has a few like him. He looked at my face, his right eyebrow cocked in a stiff triangle. Until that moment, I’d never heard him speak.

“I don’t know,” he said. “That looks pretty bad.”

The triage nurse handed me a cold pack for my face and I took a seat in the waiting area. I flipped the hood of my sweatshirt over my head, placed the pack over my eyes, and started having a nice, long think.


I didn’t grow up during the golden age of boxing. In my lifetime, there will never be a fight that holds so much meaning for so many people as when, on the eve of World War II, a poor black man from Detroit named Joe Louis knocked out Max Schmeling, a German heavyweight champ whom Adolf Hitler hailed as a national hero. Never will there be fights like the 1970s bouts between Muhammad Ali and Joe Frazier, which captured the attentions of hundreds of millions of people.

My earliest exposure to the sport came through a Nintendo game: Mike Tyson’s Punch-Out! Beyond that, I can only remember one occasion on which boxing captured the attention of everyone I knew—when Tyson bit off a piece of Evander Holyfield’s ear. What had once been the greatest spectacle on earth had become a sideshow with a niche fan base—a fan base to which I did not belong. By the time I reached my 20s, I couldn’t have named any active professional boxers. (Although I still remembered most of the opponents from Punch-Out!: Glass Joe, Bald Bull, King Hippo, Soda Popinski…)

In other words, boxing held no mythological sway over me. I got into it purely on a whim. I was 23 years old and new to Chicago, looking for something to do. I found a coupon for three free months at a martial arts gym. They offered boxing classes twice each week. I attended every class until my free trial ran out. Then I joined a more affordable gym, and some years later I migrated to the almost free-of-charge Hamlin Park gym. I also became a dedicated fan of the sport. I started watching classic fights on YouTube, and have since subscribed to HBO and Showtime, specifically to watch boxing. I would rather not disclose how much I have spent on Pay-Per-View boxing events (more than I’ve spent on gym fees at Hamlin Park, easily).

But even today, I wouldn’t describe myself as a boxer. I’ve never participated in an official fight. In the years since I took up boxing, I’ve watched my friends finish other grueling athletic endeavors—marathons, triathlons, bike races, those ridiculous obstacle courses—with a nagging sense of jealousy, not only because they can call themselves “marathon runners” and “triathletes,” but also because they have the freedom to suspend their training as life dictates it. They’ll never forget how to run; how to ride a bike; how to swim; how to crawl through mud, uphill, beneath electrified barbed wire.

Not so in boxing. Sparring is the most important element of training for a fight. When sparring, one develops abilities beyond raw physical fitness—reflexes, instincts, timing—none of which can be honed through any method other than fighting a living, breathing, imperfect human being. And when one stops sparring, even for a short while, these abilities evaporate. Rapidly. Stepping into the ring after a hiatus always feels like stepping into the ring for the very first time.

I’ve stepped into the ring for the first time countless times—and so have many of the guys I’ve trained with over the years. We come and go; a few months in the gym, a few months away. We’re not boxers. We’re wannabes.

It has been nearly seven years since my first boxing class. In each of those years, I find I must deal with a greater number of responsibilities than the year before, and I have less time in which to deal with them. At the beginning of 2013, I recognized that this year may be my last opportunity to make the commitment that separates the boxers from the wannabes. I made a promise to myself that I would improve my core strength and stamina, fine-tune my technique through shadowboxing and countless rounds on the heavybag, and, most importantly, spar on a regular basis. If I could compete in just one amateur fight in 2013, I decided I could walk away from the ring proud of what I’d accomplished.

Yet, there I sat in the emergency room, wondering how messed up my face would look after this, thinking about what might be more rewarding ways to spend my time. It was January 16th.


They called my name and led me to an examination room. The doctor looked up my nostrils and slid a long cotton swab deep into each cavity to clear the dried blood. My eyes watered. She asked me if my nose had always been curved. She ordered an X-ray.

I followed Jamie, the X-ray technician, to the cool metal room where he would take the images of my face. He carried a springy energy in his legs that that felt somehow familiar. When we reached the X-ray table, he turned and studied my face.

“Left hook?” Jamie asked. Then he took a half-step backward, pointing his shoulder toward me, bent his knees and rocked gently on the balls of his feet—the boxing stance. The very first thing they teach you at a boxing gym.

“I see it,” he said, smiling and cocking his right fist. “It had to be a right hand.” He sat me in a chair next to the table.

I asked Jamie if he had been a fighter.

“No,” he answered, positioning my head sideways on the X-ray table, as if I were taking a nap in the middle of dinner. “I took a lot of martial arts when I was younger. My brother was a boxer, though.” He aligned the X-ray tube over my head, and stepped behind the protective wall to take the pictures.

Boxing belongs to the young. For every guy like me, the wannabes, there’s a guy like The Chainsaw, or Oscar, or The Cat—these vessels of pure, raw potential.

“Boxing never really grabbed me,” he said over the wall, as the machinery above me groaned and clicked. “If MMA had been as big then as it is now, I would have taken a shot at that.”

He stepped out and turned my head the opposite way, facing him. “But instead I went back to school. Got married.” He paused, before adding, with a gravelly note of regret, “Had kids.” He put both hands on his belly, and pushed it out as far as he could.

“And then I got this.” He had a surprisingly large gut. “Now I just play videogames,” he said with a sneer, mimicking the action with his thumbs.

Jamie told me he was 39 years old. The age difference between the two of us was about the same as the age difference between me and The Chainsaw.

With my head on the X-ray table, looking sideways at Jamie’s belly, I started to understand that the unease growing within me wasn’t about how my face might look or whether I’d stay a wannabe forever. My 29th birthday was approaching, which felt significant. It felt like a looming deadline. I know 29 isn’t old, but it’s the oldest I’ve ever been, and maybe it’s too old for some things.

Boxing belongs to the young. For every guy like me, the wannabes who are in and out of the gym, there’s a guy like The Chainsaw, or Oscar, or The Cat—these 18-, 19-, 20-year-old vessels of pure, raw potential. It’s impossible to watch them and not think about what it is that’s already passed me by.

It’s been five months, and I haven’t been back to the gym. I haven’t decided whether I’ll return, or whether I’ll spar again.

It’s not that I fear another injury; that fear has always been there. It’s not the memory of the moment of impact and the crunching sound I heard in my head. It’s not the way the blood tasted in my mouth or the look of the crooked line in Bill’s nose. What haunts me is the way Jamie slid the negative over the soft backlight, and tapped the black and gray image of my skull with his forefinger.

“You had to know,” he said. “Something like this was bound to happen.”